Moški je s simptomi opičjih koz obiskal bolnišnico v Rimu. Bolezen so nato s testiranji potrdili v rimski bolnišnici za nalezljive bolezni Spallanzani.
V Severni Ameriki in Evropi od začetka maja beležijo vse več primerov okužb z virusom opičjih koz, zaradi česar se pojavlja bojazen, da bi se ta bolezen, ki je endemična v delih Afrike, lahko razširila po svetu.
Kanada je zadnja v nizu držav, ki so potrdile, da preiskujejo več deset ljudi, ki kažejo simptome okužbe z opičjimi kozami. Pred Kanado so potrjene primere okužbe zabeležili v Veliki Britaniji, ZDA, Španiji in na Portugalskem.
Ta bolezen, ki je le izjemoma smrtonosna, je v zadnjih letih okužila več tisoč ljudi v delih Srednje in Zahodne Afrike, a se drugod po svetu pojavlja izjemno redko. V primeru vsaj enega posameznika iz Velike Britanije je bilo potrjeno, da se je okužil med obiskom Nigerije.
Po podatkih Svetovne zdravstvene organizacije (WHO) je Nigerija od septembra 2017 do aprila 2022 poročala o skupno 558 primerih suma na okužbo z virusom. Med 241 potrjenimi primeri je bilo zabeleženih osem smrtnih žrtev, kar znaša 3,3 odstotka.
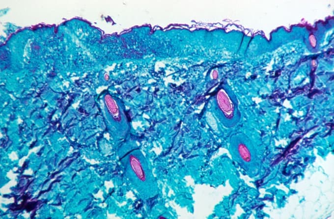
Opičje koze se lahko prenašajo kapljično, če pride do vdiha večjih kapljičnih delcev, in prek stika s kožnimi ranami okuženega ali materialov, ki so bili v stiku z njegovo kožo. Kot še navaja WHO, inkubacijska doba traja od pet do 21 dni. Simptomi so lahko blagi ali resni, rane, ki nastanejo, pa so lahko tudi boleče.
Bolezen se sprva kaže s simptomi, ki so podobni gripi, kot so vročina, bolečine v mišicah in otekle bezgavke, pozneje pa se lahko pojavijo izpuščaji, pojasnjujejo pri ameriškem Centru za nadzor nad nalezljivimi boleznimi (CDC).
Po podatkih CDC pred izbruhom v Nigeriji leta 2017 na svetu kar 40 let ni bilo zabeleženih primerov okužbe z opičjimi kozami.
Katera žival prenaša virus, še ni jasno, verjetno pa je to eden od glodavcev, zaradi česar WHO navaja stik z živimi ali mrtvimi divjimi živalmi kot faktor tveganja okužbe.
Pomočnik generalnega direktorja WHO Soce Fall je na sredini novinarski konferenci dejal, da še preučujejo, kako je prišlo do lokalnih prenosov okužbe v Veliki Britaniji, pri tem pa dodal, da opažajo, da je do več teh okužb prišlo med moškimi, ki imajo spolne odnose z moškimi.
Eno cepivo in eno zdravilo proti opičjim kozam sta bili nedavno odobreni, a še nista široko dostopni. Določeno zaščito pred opičjimi kozami sicer nudi tudi cepivo proti črnim kozam.
Kaj so opičje koze?
Po podatkih WHO opičje koze povzroča virus, soroden virusu, ki je kriv za bolezen črnih koz, ki je bila z globalno kampanjo cepljenja izkoreninjena leta 1980.
Simptomi pri okužbi z virusom opičjih koz so lahko blagi ali resni. Sprva se pojavijo simptomi, podobni gripi, kot so vročina, bolečine v mišicah in otekle bezgavke. Pozneje pa lahko pride do izpuščajev in ran, ki so občasno tudi boleče.
Gre za bolezen, ki se na ljudi prenese z živali - praviloma z glodavcev in primatov - in se najpogosteje pojavlja v tropskih gozdnatih predelih Srednje in Zahodne Afrike.
Do prenosa prihaja tudi med ljudmi, in sicer ob stiku s kožnimi ranami okuženega ali ob stiku z materiali, ki so se dotikali kože okuženega. Prav tako lahko pride do okužbe z izmenjavo telesnih tekočin ali kapljično.
Nedavno je bilo odobreno cepivo, ki ščiti pred okužbo s tem virusom, a je še nedostopno širši javnosti. Dobro zaščito pred okužbo sicer nudi tudi cepivo proti črnim kozam.
Inkubacijska doba opičjih koz je praviloma med 6 in 13 dni, lahko pa traja tudi do 21 dni. Najresnejše simptome imajo ponavadi otroci. Vsi svetovni prebivalci, mlajši od 40 let, načeloma niso bili cepljeni proti črnim kozam in so kot takšni bolj izpostavljeni okužbi.
Zabeležene stopnje smrtnosti ob predhodnih izbruhih opičjih koz so se gibale med 0 in 11 odstotki, kar je v veliki meri odvisno od tega, katera različica virusa je bila kriva za izbruh.
Znani sta dve genetski različici virusa; ena se pojavlja v kotlini Konga, druga pa v Zahodni Afriki. Geografska ločnica med različicami se nahaja v Kamerunu, ki je edina država, kjer sta bili zabeleženi obe različici.
V WHO so potrdili, da je bila pri okuženem posamezniku v Veliki Britaniji odkrita zahodnoafriška različica, ki je bistveno manj smrtonosna, a še vedno potencialno zelo nevarna.
Po podatkih WHO je Nigerija, ki je osrednje svetovno žarišče opičjih koz, od septembra 2017 do aprila 2022 poročala o skupno 558 primerih suma na okužbo z virusom. Med 241 potrjenimi primeri je bilo zabeleženih osem smrtnih žrtev, kar znaša 3,3 odstotka.
Pred izbruhom v Nigeriji leta 2017 na svetu 40 let ni bilo uradno zabeleženih primerov okužbe z opičjimi kozami.
S katere živali je prišlo do prenosa virusa še ni jasno, verjetno pa je to eden od glodavcev, zaradi česar WHO navaja stik z živimi ali mrtvimi divjimi živalmi kot faktor tveganja okužbe.
Virus opičjih koz je bil pri ljudeh prvič odkrit leta 1970. Do pojava opičjih koz zunaj Afrike je prišlo le nekajkrat; nazadnje leta 2019 v Singapurju, leto pred tem v Veliki Britaniji in Izraelu, leta 2003 pa v ZDA.
